Our Services
-

PREVENTATIVE CARE & COSMETIC DENTISTRY
Preventative care is the key to a healthy smile. Regular checkups allow us to treat issues before they become a problem. Sometimes, cosmetic dentistry is the best course of action in these cases. But whether it's elective or for treatment, we'll make sure your smile is healthy and beautiful!
-

EMERGENCY CARE & ORAL SURGERY
All teeth are different and accidents happen. Whether your teeth are crooked, chipped, damaged or if you've had mouth trauma, our team of endodontists, periodontists, orthodontists and oral surgeons can treat you quickly using the latest techniques and the finest materials.
-
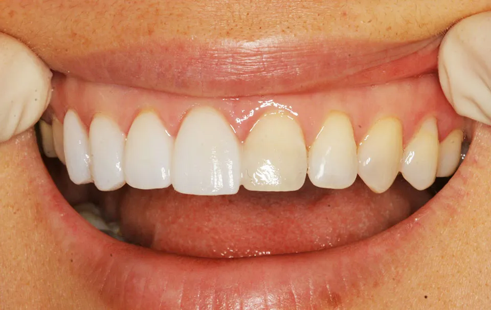
Lumineers/Veneers
Transform your smile with ultra-thin, custom veneers that fix chips, stains, and gaps for a flawless, natural look.

-
Laser Dentistry
Experience precise, comfortable treatments with advanced laser technology for quicker healing and minimal discomfort.

-
Periodontal treatment
Keep your gums healthy with expert care for gum disease, improving both your oral health and overall wellness.

-
Crowns and Bridges
Restore damaged teeth or fill gaps in your smile with durable, natural-looking crowns and bridges that enhance both form and function.

-
Dentures
Reclaim your smile and confidence with custom-fit dentures that look great and feel natural.

-
Mercury free Fillings
Choose safe, durable fillings made of tooth-colored material that blend seamlessly with your natural smile.

-
Implant/Implant restoration
Replace missing teeth with natural-looking implants that restore your smile’s strength, stability, and beauty.

-
Teeth Whitening / Bleaching (LUMIBRITE / SAPPHIRE)
Brighten your smile safely and dramatically with professional whitening systems designed for comfort and dazzling results.

-
Inlays / Onlays
Repair damaged teeth with custom-made restorations that blend seamlessly and preserve more of your natural tooth structure.

-
Root Canals
Save infected or damaged teeth with gentle root canal therapy that relieves pain and protects your smile.

-
Invisalign
Straighten your teeth comfortably and discreetly with clear aligners customized for your smile and lifestyle.

Client Testimonials
-
"I'm suffering from awful prenatal gingivitis, and Dr. Tucker + staff took extreme care of my teeth and gums. My gums have been 10000% times better since my cleaning!"
★★★★★
- Natassia S.
-
"Dr Tucker has been my dentist for about 8 years now. From the regular cleaning, to the root canal, to the teeth whitening - Dr Tucker has carried me through it all with friendly service, state of the art equipment, and a gentle hand."
★★★★★
- Will T.
-
"My husband & I are new patients but have been thrilled w/the service Tucker provides. The office is very clean, appointments are timely & the office manager (her name eludes me at the moment) is a doll. They are very professional & we can't imagine going anywhere else for our dental needs!"
★★★★★
- Stephanie G.
-
"During a routine cleaning, she found a lump on my tongue. I said it was probably nothing, maybe I just bit my tongue, but she was insistent, saying that it was not right. She referred me to an oral surgeon, who said it was serious too. It was cancer, so the Kaiser folks surgically removed it and then performed tests to see if it had spread, which apparently it had not. My mother and my best friend both died from cancer that was not diagnosed in time, but that didn't happen to me, entirely because of Dr. Tucker!"
★★★★★
- Sam B
-
"Love doctor tucker. She's a great Dentist. I had come in with a ten year old failed crown looking for some sort of attack plan. Being a student, I don't have a lot of money. She was willing to help me with adjusting prices of a temp crown, x Rays, ect. Once we began working, she gave me the HONEST truth about my tooth. That I needed to go and get an implant. Something she couldn't do. She said for her to continue with the crown, would be a waist of my money as it would fail within a year. Honesty is so important for a doctor. I fully trust her, she's not into dentistry for the money. Oh and the office is beautiful too!"
★★★★★
- Ciara F.
-
"I hv nvr liked any dentist here since i moved from Singapore 9 yrs ago. Most dentist would check ur teeth for the first time and makes a career out of my teeth, work that needs 2 yrs down the road! My whole family sees Dr Tucker. She loves my kids and is very personable. She does tell us what kind of work we would need but shes not pushy in getting major work done like other dentist. Her office is brand new (2 yrs already), clean and classy. Staff is very friendly and personable. they know my entire family."
★★★★★
- Elly G
-
"I like Dr. Tucker and her office staff. They have always been nice to me and I feel confident in their services. They made payment arrangements for my boyfriend which helped him out a lot. I recommend her to my friends."
★★★★★
- Pamela I.
-
"Dr. Tucker has the most gentle hands. My experience was virtually painless. The office is also beautiful and clean and staff very friendly."
★★★★★
- Jennifer S.
-
"My family and I have been going to see Dr. Tucker at her new dental office in Mission. She has a friendly staff and the new office is really a far cry from the old one in Southgate Ave. She offers payment options and it's actually very easy to schedule or change an appointment with her dental assistants. Dr. Tucker herself has "magical hands." I never felt the pain of receiving anesthesia through a shot."
★★★★★
- Celeste R.
-
"I have been a client of Dr. Tucker's for a couple of years now and both my teeth and I couldn't be happier. Professional, caring and understanding, I love that Dr. Tucker takes the time to listen to my concerns... and my made up stories of why I haven't flossed enough recently. She gives plenty of advice and I never feel pressured to do unnecessary work. Michelle, the office receptionist, is also very professional and patient, especially when I come late to my appointments (sorry!). She's very helpful and makes scheduling or rescheduling appointments a breeze. The office is bright, clean and welcoming. It's much better than the dark and terrifying dentist office I used to go to in Chinatown as a kid. I can still remember that awful drill noise and the purple flavored mouth wash... eeep!"
★★★★★
- Alex Y.
-
"Dr. Tucker is very experienced and meticulous! She has been my dentist for four years, and every single time I get my teeth cleaned, her hands are very steady and she has a sharp eye for cavities and whatever else goes on in your mouth. When she's working on you, she always makes sure that you're doing fine and that she's not hurting you. She keeps good records of your dental health and she consistently monitors your teeth to make sure they stay healthy. Everyone here is very kind, friendly, and good at what they do. She has NEVER disappointed me in the slightest- I always have a pleasant experience whenever I go to her office. Choose her!"
★★★★★
- Savannah S.
-
"the office is classy and neat , sort of relaxing =) courteous staff and dr. tucker did an excellent job ...."
★★★★★
- Jo F
-
"3 years ago My first time to write a review because I really want to give a well deserved compliment to Dr. Eleonor Tucker, for treating me like a family on my visits to her very clean and welcoming clinic which follows the health protocols so I never feel worried about my health safety. She uses modern equipments and techniques and I was never uncomfortable or in any pain during my procedures because she is very light handed. She is nice and kind hearted, I highly recommend her so you can see for yourself. Thank you Dr. Tucker"
★★★★★
- Pearl Martin