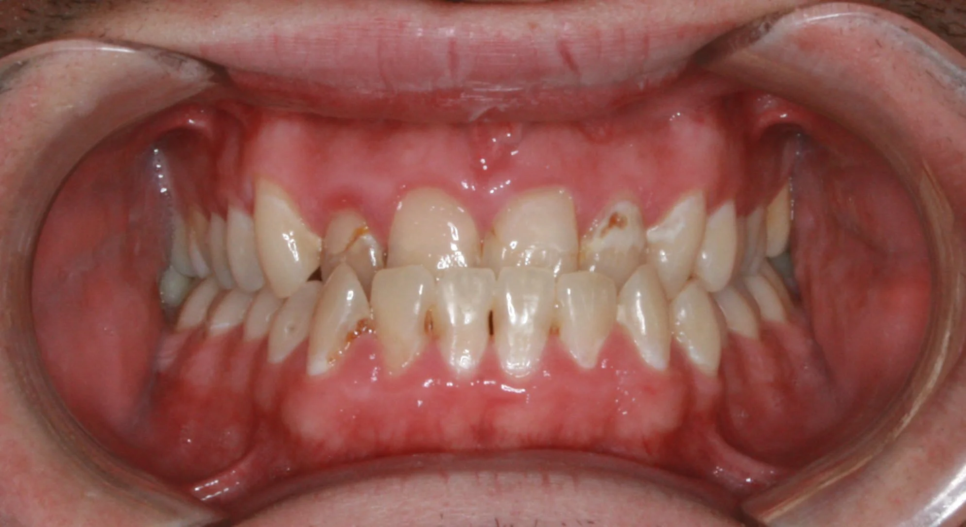
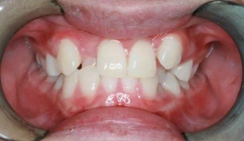
CASE NUMBER 1 - IMPLANT BRIDGE, VENEER, CROWN AND IMPLANT SUPPORTED PARTIAL DENTURE

Before

After

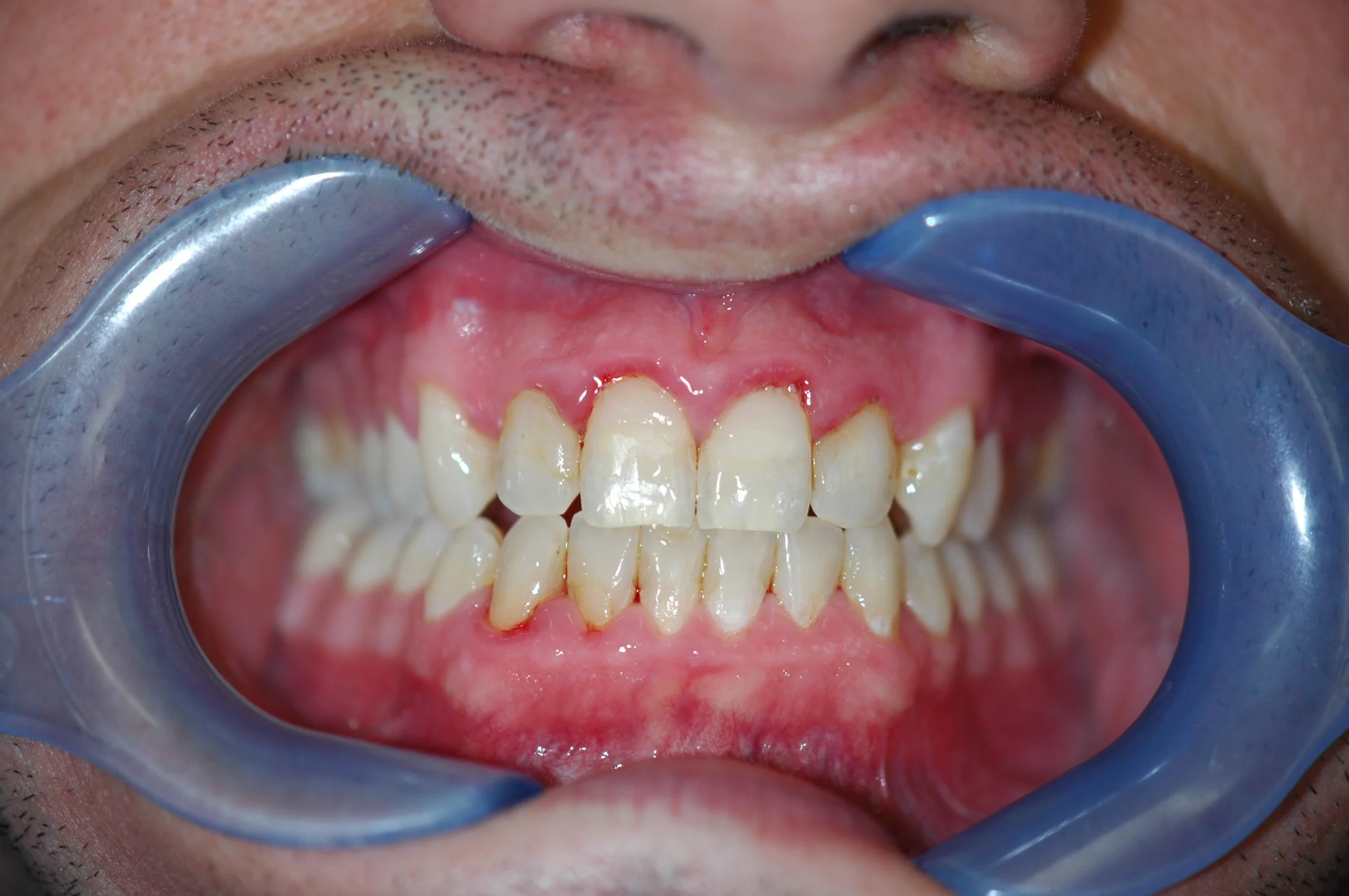
CASE NUMBER 2 - IMPLANT BRIDGE

Before

After

CASE NUMBER 3 - ORTHODONTIC TREATMENT WITH INVISALIGN

Before

After

CASE NUMBER 4 - IMPLANT BRIDGE

Before

After

CASE NUMBER 5 - INVISALIGN TREATMENT AND BONDING

Before

After

CASE NUMBER 6 - INVISALIGN TREATMENT OF SEVERE CROWDING

Before

Ongoing

CASE NUMBER 7 - VENEERS

Before

After

CASE NUMBER 8 - ONGOING INVISALIGN TREATMENT OF IMPACTED CANINES

Before

Ongoing